Dr. Sacharias  became interested in mammography, particularly after a visit to the Department by Dr. Robert Egan from The M.D. Anderson Hospital of Houston Texas. Dr. Colin Laing played a considerable influence in supporting her. Dr. Sacharias worked for several years together with the Staff of the Anti Cancer Council in establishing the Breast Screen Service in Victoria.

 

Nina has helped to establish the Breast Screen Assessment Centre at the Alfred Hospital and has extended her interests beyond Alfred Radiology by working for Breast Screen one day a week.

 

She has served on the Scientific Advisory Committee for Breast Screen for several years,

 

This work was acknowledged on this occasion, in front of the Victorian House of Parliament shown here with the Minister for Health Mr. David Davis and Staff from Breast Screen Victoria. The first Breast Screen van was named "Nina" after Dr. Nina Sacharias.

 

Nina and Marjorie are Breast-Screen Victoria’s state-of-the-art mobile breast screening vans. The bright pink vans are fitted with the latest digital breast cancer screening technology which enables mammography images to be captured more efficiently and be sent to radiologists over a broadband network. The vans travel around the state on a biennial schedule to ensure rural and regional women have easy access to the service close to home. Nina is named in honour of Associate Professor Nina Sacharias.

 

 

 

 

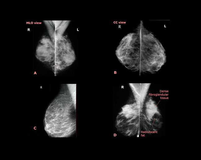
MAMMOGRAPHY

 

 

A second van is named "Marjorie" and honours the late Dr. Marjorie Delgamo of Queensland who performed the first Mammogram in Australia during the early 1950s. The Vans serve Women in remote country areas who cannot travel a long distance for Mammography. Here we would like to add that the first mammogram performed in Queensland was done by Dr Marjorie Delgamo.

 

It became obvious that the training in interpreting Mammograms was occasionally deficient and with the assistance by Dr. Michael Moran, on staff in the Radiology Department a Two Day Mammography Course was created and given thirteen times in Centres in Australia and once in New Zealand.

Dr Nina Sacharias

STAT Innovations 2015 ©